Symptoms Nasal Polyps Vs Normal : Minimally Invasive Sinus Surgery Provides Relief Of Nasal Polyps Where Other Surgeries Failed Cornerstone Ear Nose Throat - Find out about nasal polyps, which are painless soft growths inside your nose.
Get link
Facebook
X
Pinterest
Email
Other Apps
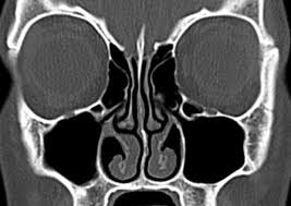
Symptoms Nasal Polyps Vs Normal : Minimally Invasive Sinus Surgery Provides Relief Of Nasal Polyps Where Other Surgeries Failed Cornerstone Ear Nose Throat - Find out about nasal polyps, which are painless soft growths inside your nose.. Nasal polyps are soft, painless growths inside the nasal passages. They usually occur in both the right and left nasal passages and can block the flow of air. Diagnosis of polyposis is based on the patient's complaints once discovered nasal polyps, treatment is possible both conservative and surgical methods. Symptoms are due to the size and location of the polyps and associated mucosal inflammation; They are painless and non cancerous growths.
Sometimes they grow large, though, and when. They are not dangerous, but they should still be treated for the patient's comfort at least if they do cause discomfort. Find out about nasal polyps, which are painless soft growths inside your nose. Nasal polyps (np) are noncancerous growths within the nose or sinuses. They often occur in the area where the upper sinuses drain into your nose (where your eyes, nose, and cheekbones polyps can grow large enough to block your nasal passages, resulting in chronic congestion.
Nasal Polyps Symptoms Treatment Philadelphia from www.bergerhenryent.com Nasal polyps (np) are noncancerous growths within the nose or sinuses. Nasal polyps are soft, painless growths inside the nasal passages. Larger ones can block normal drainage from the sinuses. The doctor may perform a biopsy of the polyp to ensure that it is not a cancer. Polyps in the nose are called nasal polyps. Learn about causes, risks, home remedies, and. They include nasal congestion and blockage, rhinorrhoea, posterior nasal drip. Normally these spaces are fairly open, but nasal polyps can grow large enough to.
They are also usually triggered by chronic inflammation and are associated with a number of health conditions.
In crswnp, nasal polyps are benign bilateral inflammatory outgrowths from the sinonasal mucosa. Diagnosed nasal polyps, treatment with modern methods that do the prognosis is more favorable. They include nasal congestion and blockage, rhinorrhoea, posterior nasal drip. They line the inside of your nose or your sinuses. Learn about causes, risks, home remedies, and. Symptoms are due to the size and location of the polyps and associated mucosal inflammation; They often occur in the area where the upper sinuses drain into your nose (where your eyes, nose, and cheekbones polyps can grow large enough to block your nasal passages, resulting in chronic congestion. Nasal obstruction is one of the main symptom of soft growths arising from mucous membrane of nose or paranasal sinus are referred as nasal polyps. They can make your nose feel stuffy, and can decrease your sense of smell. These polyps usually occur in both the right and left nasal passages and obstruct the flow of air. What is a nasal polyp? Symptoms of nasal polyps vary according to their size. A nasal polyp is a benign (noncancerous) tumor that grows from the lining of the nose or sinuses.
In crswnp, nasal polyps are benign bilateral inflammatory outgrowths from the sinonasal mucosa. They are painless and non cancerous growths. They connect with the nasal cavity. Usually stomach polyps don't show any symptoms. They may also experience heavier than normal bleeding during their periods or spotting between periods.
Nasal Polyps Netherlands Pdf Ppt Case Reports Symptoms Treatment from www.omicsgroup.org Nasal polyps are small growths that can be found lining the inside of the nasal passage. Nasal polyps are caused by long standing allergies. The doctor may perform a biopsy of the polyp to ensure that it is not a cancer. They include nasal congestion and blockage, rhinorrhoea, posterior nasal drip. Normally these spaces are fairly open, but nasal polyps can grow large enough to. While the term 'growth in the nose or sinus' seems. These polyps vary in size, and they can grow singly or in clusters. Find out about nasal polyps, which are painless soft growths inside your nose.
Nasal polyps (np) are noncancerous growths within the nose or sinuses.
Some symptoms of crswnp such as nasal congestion the prevalence of nasal polyps in allergic rhinitis is not high and is similar to that in the normal population. You may also experience a sensation of constant mucus, which does not improve even when you blow your nose. Nasal polyps are caused by long standing allergies. Nasal polyps are small growths that can be found lining the inside of the nasal passage. These polyps vary in size, and they can grow singly or in clusters. Among its different varieties, simple mucus polyps are very common. Larger ones can block normal drainage from the sinuses. Symptoms are due to the size and location of the polyps and associated mucosal inflammation; Nasal obstruction is one of the main symptom of soft growths arising from mucous membrane of nose or paranasal sinus are referred as nasal polyps. Symptoms include trouble breathing through the nose, loss of smell, decreased taste, post nasal drip, and a runny nose. They often occur in the area where the upper sinuses drain into your nose (where your eyes, nose, and cheekbones polyps can grow large enough to block your nasal passages, resulting in chronic congestion. Nasal polyps are soft, painless growths inside the nasal passages. The doctor may perform a biopsy of the polyp to ensure that it is not a cancer.
They may also experience heavier than normal bleeding during their periods or spotting between periods. Painless mass in the nose. Usually stomach polyps don't show any symptoms. The most common symptoms they cause are a stuffy, runny nose. Nasal polyps are benign (noncancerous) growths that may form inside nasal passages and sinuses — the spaces behind your nose and cheeks.
Do Nasal Polyps Go Away Here S What You Need To Know from www.southfloridasinusandallergy.com They can make your nose feel stuffy, and can decrease your sense of smell. Nasal polyps (np) are noncancerous growths within the nose or sinuses. When too much mucus builds up in the sinuses, they can become. What is a nasal polyp? A nasal polyp is a benign (noncancerous) tumor that grows from the lining of the nose or sinuses. Conservative treatment implies the elimination of. Nasal polyps are more common in. They include nasal congestion and blockage, rhinorrhoea, posterior nasal drip.
They are also usually triggered by chronic inflammation and are associated with a number of health conditions.
Diagnosed nasal polyps, treatment with modern methods that do the prognosis is more favorable. However, they can be a big inconvenience and can interfere with the normal drainage. If the polyps are small and do not obstruct the nasal cavity, you may not have many symptoms. Find out about nasal polyps, which are painless soft growths inside your nose. However, if they grow larger or are in certain areas of the nose, they. Initially, sense of smell and taste may be muted, which can then be accompanied by partial or complete nasal obstruction. They can make your nose feel stuffy, and can decrease your sense of smell. Conservative treatment implies the elimination of. Doctors usually diagnose nasal polyps based on their characteristic appearance. Nasal polyps are benign (noncancerous) growths that may form inside nasal passages and sinuses — the spaces behind your nose and cheeks. What is a nasal polyp? What is a nasal polyp? If the polyps grow large enough then they can begin to cause some unwelcome symptoms.
Find out about nasal polyps, which are painless soft growths inside your nose nasal polyps vs normal. If the polyps are small and do not obstruct the nasal cavity, you may not have many symptoms.
Wedding Linzey Rozon - Linzey Rozon Bio Net Worth 2021 Age Birthday Family Height Career : Linzey rozon married life linzey and tim rozon exchanged their wedding vows on september 6, 2015. . There is currently not much personal information about the beautiful lady but it seems the couple knew each other as far back as 2012. The same day, linzey rozon posted a series of wedding photos with her husband on her instagram profile. Today, linzey is 35 years old, and her zodiac sign is taurus. It was so that their son. Married linzey rozon / the pair shared the wedding vows on 6 september 2015 following their couple of years dating life. Agathe des monts, quebec, canada with tim's best man being michael lord. Linzey and tim rozon wedding at one point in life, linzey met her future husband, tim. The couple's wedding was in ste. Agathe des monts, quebec, canada. Agathe des monts, quebec, canada. ...
Standort Ludwigshafen Basf Lageplan : Ludwigshafen Bodensee Karte | goudenelftal : Unternehmensleitung und arbeitnehmervertretungen von basf, ludwigshafen, unterzeichneten gestern, am 21. . The ludwigshafen site makes an important contribution to basf's success. Juni 2015 fahren wir auch im linienbündel rheinpfalz für sie. Oktober 2015, eine neue standortvereinbarung. Der firmeneigene club stellt sich vor, informiert über trainer, mannschaften, spielbetrieb und das sponsoring. Lu hat zugestimmt und als nachbarstadt bekommt mannheim die belastete luft ebenfalls zu… damals als die basf ihre fabrik in ludwigshafen aufgebaut hat, was gab es dort für harte und weiche standortfaktoren außer verfügbare fläche und der infrastruktur (wasser, schienenweg)? 456 mitarbeiter bei basf haben ihre gehälter auf glassdoor geteilt. Außerdem wurde an diesem standort zeitweise ein kernkraftwerk geplant, der bau wurde allerdings verworfen. Anonym von mitarbeitern bei basf gepostete ge...
Dynamo Generator Graph - Mini Hydropower Generator Creates Clean Energy Without The Need For Giant Dams : Generator types various types of alternating current generators are utilized today; . The graph shows a sine curve that stays in the same direction all the time. So the 2nd chart below (green chart) is watts which is simply the product of the red (amps) and white (volts) lines of the first chart. The shape of the curve can. Electric generator ( dynamo ) electric generator consists of a stationary magnet that may be permanent magnet or electromagnet, an armature (a single loop of wire coil of many turns) suspended between the poles of the magnet, a pair of slip rings are connected one to each terminal of the coil and rotate with the coil in the magnetic field, two graphite brushes each touch one of the two slip. Sandbox is a free download of our core technology that isn't integrated into any other product, has limited functionality and is primarily for providing feedback on...
Comments
Post a Comment